Description du projet
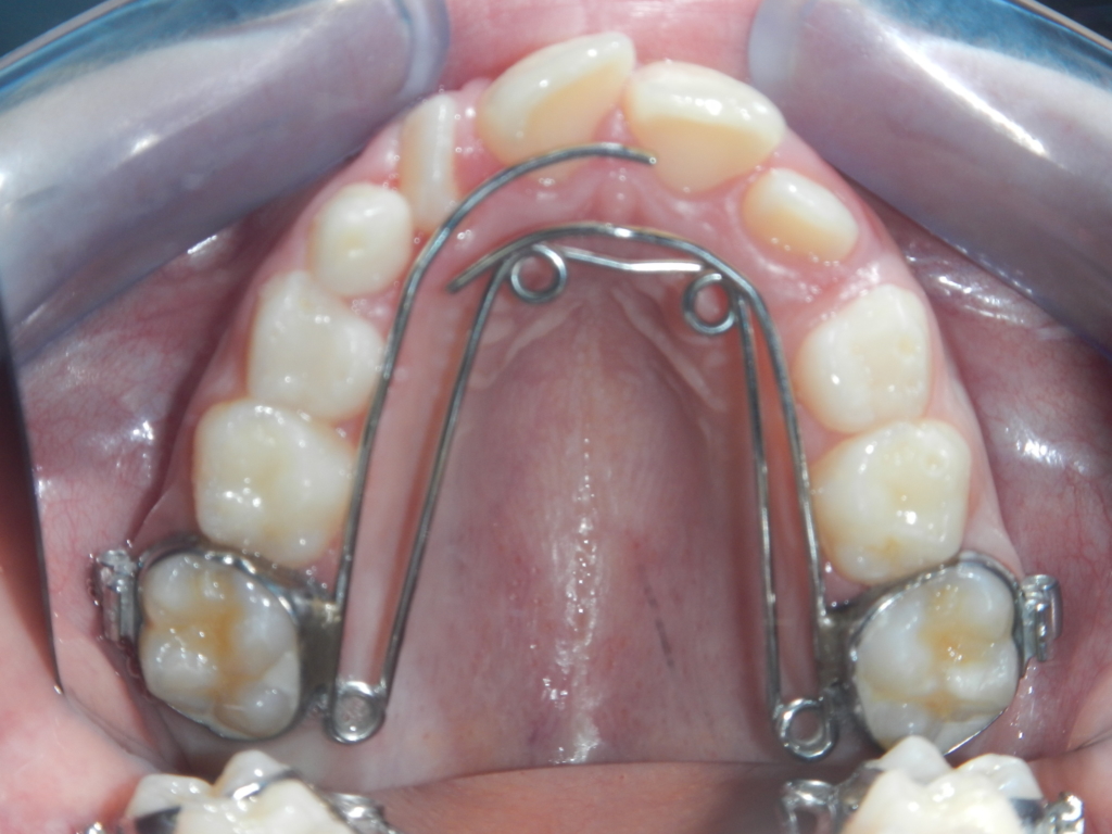
LE QUADHÉLIX
Il permet de corriger un articulé inversé uni- ou bilatérale (c’est-à-dire quand les dents du haut se trouvent à l’intérieur de celles du bas).
Il est porté pendant 6 mois en denture mixte.

LE QUADHÉLIX
Il permet de corriger un articulé inversé uni- ou bilatérale (c’est-à-dire quand les dents du haut se trouvent à l’intérieur de celles du bas).
Il est porté pendant 6 mois en denture mixte.
