Passer au contenu
MALPOSITIONS DENTAIRES INFÉRIEURESLudoAdminSite2021-02-18T11:42:14+01:00
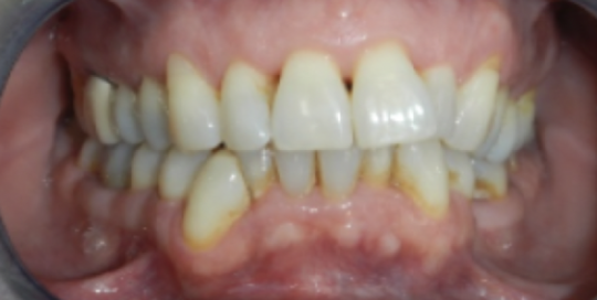
SOURIRE DISGRACIEUX ET GENCIVES QUI SAIGNENTLudoAdminSite2021-02-18T11:47:12+01:00
BÉANCES ANTÉRIEURE ET DENTS DU BAS AVANCÉESLudoAdminSite2021-02-18T11:49:28+01:00
DENTS TROP ÉCARTÉESLudoAdminSite2021-01-21T12:39:38+01:00
CHEVAUCHEMENT DES INCISIVESLudoAdminSite2021-02-18T11:51:46+01:00
INCISIVES MAXILLAIRES RETROVERSÈESLudoAdminSite2021-02-18T11:55:58+01:00
CAS DE BÉANCE ANTERIEURELudoAdminSite2021-02-18T12:12:04+01:00
CHEVAUCHEMENT INCISIFLudoAdminSite2021-02-18T12:21:57+01:00
CAS DE DÉCALAGE DES MÂCHOIRESLudoAdminSite2021-02-18T12:27:30+01:00
CAS DE SUPRACLUSION INCISIVELudoAdminSite2021-03-15T14:34:48+01:00