Description du projet
CHEVAUCHEMENT DES INCISIVES

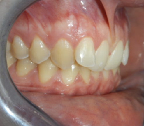
ADÈLE 22 ans
Réaligner les incisives et réduire la supraclusion
DIAGNOSTIC :
Classe I squelettique – Profil orthofrontal – Classe I dentaire – DDM – Supraclusion incisive – 12+22 ectopiques
– Palatoversion des 11+21
OBJECTIFS DE TRAITEMENT
Réaligner les incisives et réduire la supraclusion
PLAN DE TRAITEMENT
• Extraction de la 43
• Correction des formes d’arcades
DÉROULEMENT DU TRAITEMENT :
27 gouttières > et 29 gouttières < Durée : 15 mois
Pas de réévaluation et d’orthodontie accélérée
Demande de finitions : 5 > et 8 < soit 4 mois
PHOTOS AVANT /APRÈS TRAITEMENT

